- ホワイトニングで理想の美しい白い歯へ
- 当院で行っているホワイトニング
- 当院で使用する薬剤・照射器
- ホワイトニングのメリット・デメリット
- ホワイトニングの流れ
- ホワイトニング後の注意点
- ホワイトニング症例集
- インターナルブリーチ
- ガムピーリング
- ホワイトニングを受けられる方はお読みください
- 料金表
- ホワイトニングのQ&A
ホワイトニングで
理想の美しい白い歯へ
歯を削らずに白くできるホワイトニングは、気軽に始められるお口の美容ケアです。
荻窪ツイン歯科・矯正歯科では、専用の薬剤とライトを使用し、歯科医院で専門スタッフが施術を行うオフィスホワイトニングと、ご自宅でじっくり続けられるホームホワイトニングの両方をご用意しています。それぞれの特徴や薬剤の違いを踏まえ、患者様のライフスタイルやご希望に合わせて最適な方法をご提案します。
歯の色が気になっている方、歯を白くしたい方はぜひお気軽にご相談ください。
当院で行っている
ホワイトニング
オフィスホワイトニング
オフィスホワイトニングは、歯科医院で歯科医師や歯科衛生士が行う施術です。
専用のライトを照射しながら、過酸化水素を主成分とした高濃度の薬剤を使うことで、歯の表面にある着色物質を「無色化」し、短期間で白さを実感しやすいのが特長です。1回の施術でも効果が見込めるため、イベントを控えている方や早く結果を出したい方におすすめです。歯を削ることなく白さを引き出すことができる、安全性の高いホワイトニングです。
ホームホワイトニング
ホームホワイトニングは、ご自宅でご自身のペースで進めていただける方法です。
専用のマウスピースに過酸化尿素を主成分としたジェルを入れ、1日1~2時間装着することで、着色成分をゆっくりと「無色化」しながら、自然な白さへと導いていきます。毎日少しずつ白くなるため、白くなりすぎるのが不安な方にも安心。お仕事や家事の合間など、ライフスタイルに合わせて取り組めるのも魅力です。
デュアルホワイトニング
デュアルホワイトニングは、オフィスホワイトニングとホームホワイトニングを組み合わせた方法です。
短期間でしっかりとした効果が得られ、かつその白さを長く保ちやすいのが特長です。
即効性と持続性の両方を求める方、理想の白さを効率的に手に入れたい方にぴったりのホワイトニング方法です。
当院で使用する薬剤・照射器
当院で使用する薬剤
「松風ハイライト」
当院でのオフィスホワイトニング時のホワイトニング剤は「松風ハイライト」を導入しております。松風ハイライトは歯科専用の高性能ホワイトニング剤で、自然な白さを実現します。高濃度ながら歯を痛めにくい処方で1回の施術で効果の実感を期待できます。
施術時間目安
1回目/2時間 2回目以降/1時間30分
当院で使用する照射器「BRILLICA bianco」
BRILLICA bianco(ブリリカ ビアンコ)はオフィスホワイトニングの際に使う照射器です。開口器タイプで照射位置がずれないため、効率的な光照射が可能。施術時間の短縮や患者様が動いてもストレスを感じにくい設計です。
ホワイトニングの
メリット・デメリット
メリット
-
- 歯を削らずに白くできるため、大切な歯を傷めずに美しく整えられる
- 相談した日にそのまま施術を受けられる
- セラミック治療に比べ、費用を抑えて自然な白さが目指せる
- 歯科医師や歯科衛生士が施術するため、仕上がりにムラが出にくく、安心(オフィスホワイトニング)
- 自宅で行えるため、通院の手間がかからない(ホームホワイトニング)
デメリット
-
- 知覚過敏が起こる可能性がある
- 治療によっては痛みが出ることがある
- 抗生物質による着色は改善できない
ホワイトニングの流れ
1カウンセリング
まずは歯の色に関するお悩みやご希望を丁寧にお伺いします。
普段の歯磨き習慣や食生活についても確認し、最適なホワイトニングプランをご提案いたします。
気になることやご不明な点があれば、お気軽にご相談ください。
2お口の中のチェック
むし歯の有無や歯の神経の状態、歯ぐきの健康状態などを確認し、ホワイトニングが安全に行えるかどうかを診査します。
ホワイトニングができない方
- 妊娠中や授乳中の方
- 知覚過敏がひどい方
- むし歯、歯周病がある歯(先に治療を行います)
3歯の口腔内写真撮影・
クリーニング


施術前後の色の変化を確認できるよう、お口の写真を撮影します。
ホワイトニング前に、歯石や着色汚れをしっかりと取り除きます。
この処置により、ホワイトニング剤が歯に浸透しやすくなります。
4歯ぐきの保護
高濃度のホワイトニング剤(過酸化水素)を使用するため、歯ぐきに薬剤が触れないようにしっかりと保護します。
薬剤が歯ぐきに付着すると、一時的に白くなったり、軽い炎症を起こす場合があります。
5ホワイトニング剤の塗布と光照射
ホワイトニング剤を歯の表面に塗布し、専用の光を照射して薬剤の効果を高めます。
通常、12分間の照射を3セット(合計36分)行い、毎回薬剤を塗り替えます。
6薬剤除去、フッ素塗布
ホワイトニング剤を除去し、知覚過敏を防ぐ為にフッ素を塗布します。
7口腔内写真撮影・
術後の説明
施術前と施術後の写真を比較しながら、歯の色の変化をご確認いただきます。
また、当日の食事やケアについての注意点などを丁寧にご説明しますので、安心してお帰りいただけます。
ホワイトニング後の注意点
施術後の食事について
ホワイトニングを受けたあとは、歯の表面が一時的に着色しやすくなっています。白さを保つために、施術後24時間はコーヒー、紅茶、赤ワイン、カレー、しょうゆなど、色の濃い飲み物や食べ物はなるべく控えてください。
また、喫煙も着色の原因になりますのでご注意ください。この期間は、水や牛乳、白ごはん、うどん、白身魚など、色の薄い飲食物を選んでいただくと安心です。
歯がしみる・
痛むことがあります
ホワイトニングのあと、一時的に歯がしみたり、軽い痛みを感じることがあります。
これは薬剤の影響で歯が敏感になるためで、ほとんどの場合は数時間から24時間ほどでおさまります。
もともと知覚過敏がある方や、歯ぎしりなどで歯にダメージがある方は、症状が出やすい傾向があります。
痛みが強い場合や、しみる感じが長引くときは、無理をせずご相談ください。必要に応じて薬剤を調整したり、適切なケアをご案内いたします。
ホワイトニング症例集

掲載しているシェードガイドは、オレンジがかった色(A系)、黄色っぽい色(B系)、グレーがかった色(C系)に分類し、さらに明るさの段階で評価するものです。
ご自身の歯の色と見比べながら、仕上がりのイメージに役立ててください。
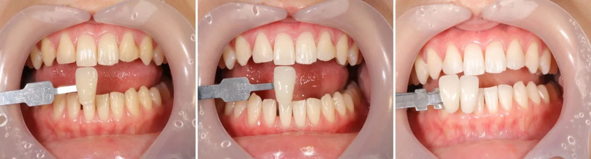
症例1
治療前

治療後
治療の内容の解説
こちらの方は最初のシェード(色味)がA3と呼ばれるやや黄色でしたが、1回のホワイトニング でA2と呼ばれる一般的な綺麗な歯の色まで変化しました。黄色味の強いこの様な色は明るくなりやすい事を説明していましたが、1回でこの様に白くなって満足していました。
リスク・副作用
術後当日から、翌日にかけてシミたりする事があり、必要であれば痛み止めを飲んで様子をみていただく。当日は色の濃い飲み物や食べ物は控えていだだく事を説明しました。
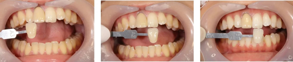
症例2

治療の内容の解説
こちらの方は最初のシェードがA2と呼ばれる一般的な色でしたが、2回のホワイトニング でA1と呼ばれるとても綺麗な歯の色まで変化しました。2回でこの様に白くなって満足していました。
リスク・副作用
歯と歯の間にコンポジットレジンと呼ばれる詰め物がありこの部分はホワイトングで色は白くならないので、術後色の違いは気になる場合は詰め直す必要があると説明しました。また、他の方と同様、術後当日から、翌日にかけてシミたりする事があり、必要であれば痛み止めを飲んで様子をみていただく。当日は色の濃い飲み物や食べ物は控えていだだく事を説明しました。
症例3

治療の内容の解説
こちらの方は最初のシェードがAで、2回のホワイトニング でB1と呼ばれるとても綺麗な歯の色まで変化しました。
リスク・副作用
右の上の前歯には被せ物が入っており、このクラウンは色が白くならないので、ホワイトニング 終了後に他の歯に合わせて被せ物を作り直すことになりました。被せ物の色を見ていくと初診時とホワイトニング を2回した後では明らかに歯が綺麗になっており、患者様も色が明るくなった事にびっくりして満足してました。また、他の方と同様、術後当日から、翌日にかけてシミたりする事があり、必要であれば痛み止めを飲んで様子をみていただく。当日は色の濃い飲み物や食べ物は控えていだだく事を説明しました。
インターナルブリーチ
神経が死んでしまった歯の
ホワイトニング
インターナルブリーチは、ケガやむし歯の治療によって神経を失い、黒ずんでしまった歯(失活歯)に対して行うホワイトニングの方法です。神経を抜いた歯は、通常のホワイトニングでは十分な効果が得られないため、歯の内側に専用の漂白剤を入れて、内側から徐々に白くしていきます。これにより、自然な白さに近づけることが可能です。ただ、歯の状況によっては行えない場合がある為、その場合は被せ物をして白くする必要があります。治療期間は1~2ヶ月程で、数回の薬液の交換を行います。
ガムピーリング
歯ぐきの黒ずみを改善して
健康的な歯ぐきの色へ
ガムピーリングとは、歯ぐきに沈着したメラニン色素を除去し、黒ずみのない健康的なピンク色の歯ぐきへ導く審美治療です。喫煙や体質などが原因で黒ずんでしまった歯ぐきに、専用の薬剤を塗布することで表面のメラニン色素を取り除き、自然に明るくきれいな歯ぐきへと生まれ変わっていきます。白く美しい歯に整えても、歯ぐきの色が暗いままだと全体の印象がくすんで見えてしまうことがあります。ホワイトニングとあわせてガムピーリングを行うことで、より明るく清潔感のある口元を目指せます。
ホワイトニングを受けられる方はお読みください
-
- 当日/無断キャンセルは1回分消化となりますので、予約変更の場合は、必ず1診療日前に連絡をお願いいたします。
- 料金は税込表記となります。1回目の予約を取った日にお会計となります。
- オフィスホワイトニングは、1回目施術日から2年間有効とさせていただきます。
料金表
| 項目 | 費用 |
|---|---|
| オフィスホワイトニング(上下20本) | 1回35,000円 2回55,000円 3回75,000円 |
| ホームホワイトニング(上下20本) マウスピース(上下)+ジェル3本 |
27,500円 |
| ホームホワイトニング用ジェル(別売り) | 2,200円/本 |
| パーフェクトホワイトニング オフィス2回+ホームホワイトニング |
75,000円 |
| インターナルブリーチ(失活歯) | 1回目11,000円 2回目以降5,500円 |
| ガムピーリング (歯ぐきの色を明るくします) |
1回5,500円 |
| エアーフロー (特殊なパウダーで着色を除去します) |
3,300円 |
ホワイトニングのQ&A
オフィスホワイトニングとホームホワイトニングの違いは?
ホームホワイトニングはマウスピースを作製してそこに薬液を入れて、2~4時間装着していただきます。オフィスとの違いは、ホームの方が薬液の濃度が約1/10と薄いので、すぐに白くしたい方やあまり時間がとれない方はオフィスの方がおすすめです。痛みに弱い方や自分のペースで白くしたい方はホームホワイトニングがおすすめです。
ホワイトニング後は何を注意すればいいの?
ホワイトニングを行った日は、色の濃い物や酸性の食品を摂取するのを控えてください。また、ホワイトニング後は冷たいものなどにしみる事があります。痛み止めをお渡ししますので、必要であればお飲みください。
ホワイトニングを受けられない人はいますか?
はい、一部の方はホワイトニングを受けられない場合があります。たとえば以下のようなケースが該当します。
・妊娠中・授乳中の方
・無カタラーゼ症の方(薬剤の分解ができない体質)
・むし歯や歯周病など、治療が必要な口腔内トラブルがある方
・詰め物や被せ物(人工歯)は白くならないため、注意が必要です。
まずはお口の状態をチェックし、安全にホワイトニングができるかを確認しますので、気になる方はぜひお気軽にご相談ください。



