矯正歯科をお考えの方へ
歯並びが悪いことが原因で自信を失ったり、矯正治療が顎の成長を妨げるのではないかと不安に感じていたりする方は当院までご相談ください。矯正治療は、歯や骨の発育を利用して行うものであり、顎の発育や全身の健康に支障をきたすことは一切ありません。
荻窪ツイン歯科・矯正歯科では、無料矯正カウンセリングを行っております。矯正治療の方法やメリット・デメリット、治療期間、費用などを丁寧にお伝えしておりますので、まずは話だけでも聞いてみたいという方もお気軽にご相談ください。
矯正歯科について
矯正治療は、歯を正しい位置に並べることで、見た目の美しさと噛み合わせを整える治療です。
歯並びが乱れていると、笑顔に自信が持てず心の面でコンプレックスを抱えることがあります。また、歯磨きがしにくいためにむし歯や歯周病のリスクが高まりやすく、しっかり噛めないことで消化不良を起こして胃腸に負担をかけることもあります。さらに、口が閉じにくい、発音がしづらい、顎関節に負担がかかる、体のバランスや運動能力に影響が出るなど、全身にまで及ぶトラブルにつながることも少なくありません。
矯正治療を受けることで、これらの問題を改善し、安定した噛み合わせを獲得できます。その結果、美しく明るい笑顔を手に入れられるだけでなく、歯の寿命を延ばし、からだ全体の健康にも良い影響をもたらします。
矯正治療を受ける
メリット・デメリット
メリット
- 美しく明るい笑顔になる
- むし歯や歯周病の予防
- 小児においては顎の骨の成長発育障害の予防(反対咬合の改善等)
- 咀嚼機能の改善と維持
- 口唇閉鎖不全の改善
- 発音の改善
- 顎と噛み合わせの安定
- 体のバランスや運動能力の改善
リスク
- 矯正装置装着期間中は痛み(矯正装置調整後3日~1週間)があり、食事がとりにくいこともある
- 装置の周囲が磨きにくいのでしっかり磨かないとむし歯になりやすい
- 年単位の治療
- 歯茎が下がることがある(大人の場合)
- 歯根が吸収され短くなる事がある
- 一般的にワイヤーが金属である為、見た目が気になる方もいる(マウスピース矯正や舌側矯正は別)
- 一般的に保険外治療である(小児の矯正や発音障害、咀嚼障害は医療費控除の対象)
矯正治療が必要な歯並び
受け口(下顎前突)
受け口は、上顎よりも下顎が前に出ている状態です。うまく噛めなくなったり発音が悪くなったりします。また、遺伝的な要因や舌・唇の筋肉の癖などが原因とされており、成長してからでは改善が難しいことが特徴です。
開咬
開咬とは、口を閉じたときに奥歯が噛み合っているが上下の前歯の間に空間ができている状態です。
奥歯に負担がかかる他、口の中が乾燥します。原因は長期にわたる指しゃぶり、口呼吸、歯を舌で押す癖などです。
出っ歯(上顎前突)
出っ歯(上顎前突)とは、顔を横から見た際、上顎の前歯が下顎の前歯よりも極端に前に出てしまっている状態です。
各症状のなかでも最も多いお悩みの1つで、口が閉じづらく、笑うと歯茎が見えるため、コンプレックスになる方もいます。
原因は、遺伝的なものや、長期にわたる指しゃぶり、舌を突き出す癖、鼻疾患によるものなどです。
すきっ歯(空隙歯列)
すきっ歯は、歯と歯の間に隙間が生じている状態です。
よくあるケースとしては、上顎前歯の中心に2ミリ程度の隙間がある「正中離開」というケースです。
主な原因は、歯と顎のサイズに不調和があったり、歯の数が少なくて生じてしまうケースがあります。
叢生
(乱杭歯・歯がデコボコ)
叢生(歯がデコボコ)とは、生える歯の本数に対し、口腔内が狭い等の理由で、歯の生えるスペースが不足してしまっているため、歯並びが乱れてしまい、歯がデコボコになってしまう症状です。
考えうる理由としましては、遺伝的なものや、長歯の生え変わりがうまくいかなかった、舌の筋力に問題があるなどです。
過蓋咬合
(前歯の咬み合わせが深い)
過蓋咬合(前歯の咬み合わせが深い)は、上顎の歯が下顎を覆い被さるように、深く嚙み合わさった状態です。
原因としては、遺伝的なもの、生え変わりが上手くいかなかった、永久歯の先天欠如、舌の筋力に問題があったなどです。
当院の矯正治療メニュー
当院では、院内で設計・製作する「インハウスアライナー」や、世界中で多くの症例に使用されているマウスピース矯正「インビザライン」を導入しています。それぞれの装置の特性を活かし、できる限り歯を抜かずに、見た目と機能の両面からバランスの取れた歯並びを目指します。
インハウスアライナー
インハウスアライナーとは、歯科医院内で設計から製作まで行うマウスピース型矯正装置のことです。一般的なマウスピース矯正では、スキャンデータを海外のメーカーに送付し、治療計画の作成からアライナーの到着までに数週間かかることもあります。
一方、インハウスアライナーは、光学スキャナーや3Dプリンター、専用ソフトを活用し、院内でスピーディーに製作することができるため、最短1週間ほどで治療を始めることが可能です。より早く矯正をスタートしたい方や、細やかな調整をご希望の方に適した治療方法です。
インビザライン
インビザラインは、世界中で多くの患者様に選ばれている透明なマウスピース型の矯正装置です。歯の型取りには光学スキャナーを使用し、そのデータをアメリカのアライン・テクノロジー社へ送信して治療計画を立てます。事前に歯の動きを3Dシミュレーションできるため、治療開始前にゴールのイメージが見えるのも安心ポイントです。
完成したアライナーは海外から発送されるため、治療開始までに一定の期間を要しますが、精度の高い設計と実績に裏打ちされた技術により、幅広い歯並びの悩みに対応できます。見た目に配慮しながら、しっかりと歯を動かしたい方におすすめの矯正方法です。
効果的な歯の移動をするためのアンカースクリュー
歯科矯正用アンカースクリューとは
歯科矯正用アンカースクリューは、ごく小さなチタン製のネジを歯ぐきの骨に一時的に固定することで、動かしたくない歯をしっかりと支えるための“固定源”として活用する矯正装置です。
これにより、従来では難しかった歯の動かし方や、歯を引っ張る方向のコントロールがより自由に行えるようになります。
特に「前歯を大きく引っ込めたい」「奥歯を動かさずに治療したい」「外科手術を避けて顔立ちを整えたい」といった症例において、強力な治療の助けとなります。
施術は局所麻酔下で短時間で行い、痛みも少なく、数ヶ月〜数年の使用後には自然に取り外します。
アンカースクリューを使うことで、より精密かつ効率的な矯正治療が可能になります。
矯正治療の流れ
1診査
- 問診 何が気になっているのか詳しく確認させていだだきます。
- 口腔内検査 虫歯や歯周病のチェック。矯正治療前にはお口の状態を改善しなければ治療はできないので、レントゲンなどを撮り確認します。
- 顎機能と咬合機能の検査 歯並びや顎の状態など現在の問題点を確認します。
- レントゲン診査 セファログラム(頭部X線規格写真)を撮影させていただき、顎の発育や骨格的な問題や歯の傾きなどを分析します。
- 歯型の採得 模型を分析し、矯正治療の計画を立てます。
2診断・カウンセリング
こちらでも模型やレントゲンの分析をします。その後、治療のゴールやそのプロセスを患者様に示しながら、それぞれの患者様に適した治療装置とその効果、治療期間、第2期治療の可能性(子どもの場合)、保定、後戻りの可能性や治療のメリット・デメリットおよび抜歯・非抜歯について説明を行います。
3初期治療
むし歯や歯周病の治療や必要があれば親知らずの抜歯をします。
4矯正治療開始
装置装着後約2ヶ月に1回来院していただき、アライナーのチェックやスキャンなどを行います。
5リテーナーの装着
矯正後は後戻りがあります。矯正治療が終了後は全ての患者様に後戻り防止のためにリテーナーという装置を入れていだだきます。
固定式と非固定式があります。装置は様々ありますので、ご相談して決めます。
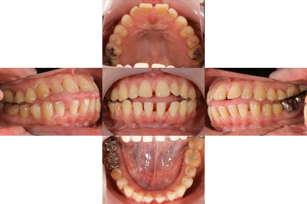
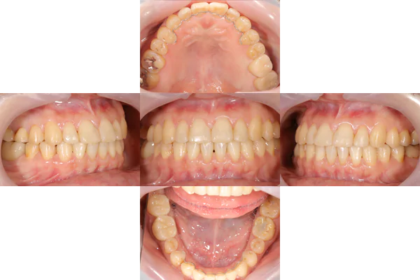
矯正治療の症例
治療前

治療後


矯正治療費について
- 相談料 0円(WEB予約で矯正相談を行っています。相談は無料です。)
- 診断料 55,000円(抜歯、非抜歯など精密な検査が必要な場合にレントゲン写真や歯型(口腔内スキャン)などを撮り、後日、分析結果とシミュレーション等の説明をいたします)
- Ⅰ期治療(永久歯が生えそろうまで) 拡大床 (上下顎) 440,000円
- マウスピース矯正 990,000円(費用は治療にかかる枚数によって変わります)
*全て税込価格
トータル治療費に含まれないもの
- 一般歯科治療(むし歯等)
- 抜歯代金:当院では1本11,000円
保証について
当院では、治療を安心して受けていただけるよう、万が一のトラブルにも対応できる保証制度をご用意しています。治療後の定期メンテナンスもしっかりサポートいたしますので、どうぞ安心してご相談ください。




