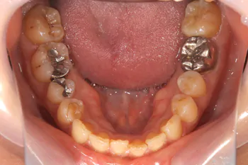
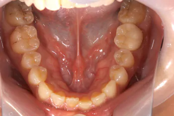
症例1
治療前

治療後

セラミックインレー

石膏の上に装着

| 主訴 | 金属の見た目と経年的な劣化を考えてセラミック(陶器)にしたいとの事で来院されました。 |
|---|---|
| 治療説明 |
奥歯で右側の様な白い詰め物にするのは保険が適応されず、現在保険外治療でハイブリッドインレー(プラスチックとセラミックの混ぜた材料)かセラミックインレー(セラミックのみ)の2種類があります。 ハイブリッドはセラミックに比べるとやや強度が弱く、長期で考えると変色するなどのデメリットがあります。 左下の被せ物はe-maxという強度の高いセラミックで作製したものになります。 |
| 治療期間 | 1ヶ月 |
| 治療費 |
左下オールセラミッククラウン13.2万円 右下セラミックインレー 6.6万円×2本 |
|
治療経過 |
金属の被せ物をはずして、型をとり治療を行いました。型取りもシリコン印象という、保険の材料に比べ精度の高い材料(歯型の変形が少ない為、ぴったりあった被せ物ができます)を用いてとりました。 患者様は術後の見た目にとても満足されていました。現在1年程経過していますが、色の変化や変形は認められません。 |
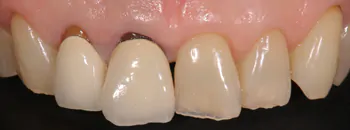
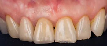
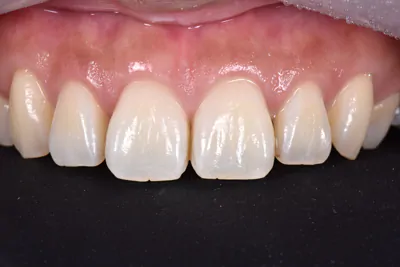
症例2
治療前
治療後

| 主訴 | 前歯の見た目(右上1番が捻れている、2番目が小さい)を気にして来院。 |
|---|---|
| 治療説明 |
1番目は神経の治療をされていたのでクラウンで被せる事に、2番目は虫歯にもなっていない健康な歯なので、ほとんど削らずにラミネートベニアと呼ばれる薄いセラミックを貼り付ける事にしました。 |
| 治療期間 | 1ヶ月 |
| 治療費 |
16.5万×2(セラミッククラウン、ラミネートベニア) |
|
治療経過 |
一旦仮歯に変え、型取りをして2週間後にセットしました。 |
症例3
治療前
治療後
| 主訴 | 前歯2本の見た目を気にして来院されました。 |
|---|---|
| 治療説明 |
当院での前歯の被せ物には2種類あります。保険では金属の被せ物で表面にプラスチックを乗せた前装冠と呼ばれるものか、セラミックのみを用いたオールセラミッククラウンです。 前装冠は歯の色を隣の歯に合わせることができない為、自然感があまり出ません。また、金属を用いる為透明感が出ず、暗くなりやすいのがデメリットです。経年的に劣化し色の変色もあります。 オールセラミッククラウンは隣の歯などの写真を撮り、歯科技工士が様々な過程やテクニックを用いて色合わせをしてもらえる為、審美的、機能的な被せ物が可能です。 |
| 治療期間 | 3ヶ月 |
| 治療費 |
16.5万円×2本 |
|
治療経過 |
被せ物は前歯で反対側の歯に合わせる為に、一流の技工士に依頼しました。 ジルコニアという硬いセラミックのフレームの上に色を調整する為のセラミックを盛り上げています。 最終的な被せ物は歯ぐきとの境目もしっかり合っており、左右を見比べても被せ物が入っている事が分からないくらい綺麗に出来上がった為、患者様も大変喜んでおりました。 |
症例4
治療前
治療後
| 主訴 | 奥歯の被せ物が取れた |
|---|---|
| 治療説明 |
奥歯の被せ物 |
| 治療期間 | 1ヶ月 |
| 治療費 |
7.7万円 |
|
治療経過 |
この被せ物であれば、見た目の影響の少ない奥歯において費用を抑えて作製する事ができます。患者様も満足されていました。 |
症例5
治療前
治療後
| 主訴 | 左下の被せ物が取れた。 |
|---|---|
| 治療説明 |
左下の小臼歯には保険の白いCAD/CAM冠か保険外のセラミッククラウンが適応だと説明。保険のCAD/CAM冠は費用は安いが、写真を撮って他の歯に合わせる事ができない事、プラスチックとセラミックの混合材料なのでセラミックやジルコニアに比べると柔らかく経年的に艶が失われ、着色しやすいことを説明すると、見た目が目立つところでもあるのでジルコニアフレームの上にセラミックを盛り上げた被せ物を選択されました。 |
| 治療期間 | 1ヶ月(2回) |
| 治療費 |
12.1万円 |
|
治療経過 |
初診時は形を整え、型取りをして、色の写真をとり仮歯を入れました。 |
症例6
治療前
治療後
| 主訴 | 笑うと歯ぐきが見える。 |
|---|---|
| 治療説明 |
CTやレントゲンを撮影して、分析し治療説明をしました。レントゲンを分析すると歯ぐきが見えるのは歯が完全に出てきてないので、歯ぐきを2~3mm切除する事により笑った時に歯ぐきが見える範囲が少なくなり、歯がしっかり出る事により見た目が綺麗に見えることを説明。 |
| 治療期間 | 1ヶ月(2回) |
| 治療費 |
5.5万円(ガミースマイルにおける骨削除+歯肉切除術) |
|
治療経過 |
歯ぐきを切開し、部分的に歯槽骨を削除して縫合。術後1週間は歯ブラシが当てられず不快感はあるが、痛み止めを服用すれば特に問題はなかったとの事。術後2週間もすれば写真のように歯ぐきが綺麗に治るので患者様も喜んでいました。 |




初診時の問題点として、歯ぐきが上がってしまい被せ物が浮いている状態で左右の長さと色があっていない事が問題だった為、一度仮歯にかえて問題が無いと判断してから最終的な被せ物をセットしました。
「金属は使いたく無い。また上の被せ物なので、見た目はそこまで綺麗じゃなくていいので白い材料がいい。」との事だったので、見た目はあまり透明では無いですが、硬いセラミックのジルコニアクラウンを装着しました。