予防歯科の重要性
むし歯や歯周病は、初期には自覚症状がほとんどなく、気づいたときにはすでに進行していることも少なくありません。一度むし歯になって削った歯は元には戻らず、治療を繰り返すたびに歯の寿命は短くなってしまいます。だからこそ、「病気になる前の予防」がとても大切です。
荻窪ツイン歯科・矯正歯科では、むし歯の原因や進行を科学的に捉える「カリオロジー(う蝕学)」の考え方に基づき、必要最小限の治療と、再石灰化を促す予防的なケアを行っています。過剰に歯を削ることなく、自然な修復力を活かしたサポートを大切にしています。
定期的な検診とクリーニングを通じて、患者様一人ひとりのリスクに応じた予防プランをご提案し、健康な歯を守り続けるお手伝いをいたします。予防は、未来の治療リスクを減らすための何よりの近道です。
予防歯科のメリット
むし歯・歯周病の早期発見で重症化を防ぐ
むし歯や歯周病は、初期段階ではほとんど自覚症状がありません。気づかずに放置すると、気づいたときには進行していて、抜歯が必要になるケースもあります。予防歯科では定期的なチェックにより、こうしたトラブルを早期に発見し、最小限の処置で抑えることが可能になります。
歯を削らずに済む・歯の寿命が延びる
一度削った歯は元に戻せません。むし歯治療を繰り返すほど、歯の寿命は短くなります。予防を心がけることで、健康な歯のまま生涯にわたって使い続けられる可能性が高まり、歯を削らずに済むのは最大のメリットです。
見た目も爽やかに、美しさを保てる
定期的なメンテナンスで歯垢や歯石を取り除くことで、歯が本来の白さを取り戻し、ツルツルのきれいな状態になります。口元の印象が明るくなり、笑顔にも自信が持てるようになります。
健康寿命を延ばすことができる
歯の本数は、全身の健康にも影響します。しっかり噛める歯がある人は、食事から栄養をしっかり摂取でき、生活の質が保たれやすくなります。実際に、残っている歯が多いほど認知症や要介護のリスクが低くなるという研究結果もあります。
治療費や医療費の節約にもつながる
むし歯や歯周病が悪化してからの治療は、時間も費用もかかります。定期的なメンテナンスを続けることで、大がかりな治療を防ぐことができ、長い目で見れば経済的な負担が軽くなります。また、全身の健康を維持することにもつながり、将来的な医療費の節約にも役立ちます。
予防歯科で行うお口のメンテナンス内容
エアフロー
当院では、歯の表面についた頑固な着色汚れに対し、「エアフロー」という専用機器を使ったクリーニングを行っています。カレーやコーヒー、赤ワイン、ケチャップなどの色の濃い飲食物、さらにはタバコのヤニなどは、毎日の歯磨きでは落としきれず、歯の黄ばみの原因となることがあります。
エアフローでは、微細なパウダーを水と一緒にジェット噴射で吹き付け、歯の表面にこびりついた着色や汚れをやさしく取り除きます。歯のエナメル質を傷つけることはなく、痛みもほとんどありません。処置後は歯が本来の自然な白さを取り戻し、つるっとした仕上がりになります。
仕上げには、専用のブラシやカップ(研磨器具)で表面を丁寧に磨き、再び着色が付きにくい状態へと整えます。見た目の印象を明るくしたい方、着色が気になる方におすすめのケアです。
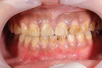
施術前

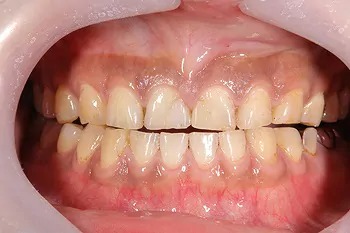
施術後

PMTC(プロフェッショナルクリーニング)
専用の機器と研磨ペーストを使い、歯の表面や歯と歯の間、歯周ポケット周辺まで徹底的に汚れを取り除くプロによるクリーニングです。
毎日の歯磨きだけでは落としきれないプラークや歯石の前段階の汚れを除去し、歯をツルツルにすることで新たな汚れの付着を防ぎます。さらに、軽度の着色も効果的に除去できるため、口元の見た目の美しさも向上します。定期的に受けることで、むし歯や歯周病の予防に大きく役立ちます。
歯磨き指導
染め出し液を使い、実際にどこに磨き残しがあるかを目で確認しながら、正しいブラッシング方法を丁寧に指導します。歯ブラシの選び方や力の入れ方、磨く順番に加え、デンタルフロスや歯間ブラシの使い方も詳しくお伝えし、より効果的に歯の隙間や歯周ポケットの汚れを落とせるようサポートします。
毎日のケアの質が大きく向上し、むし歯や歯周病のリスクを減らせます。磨き癖は時間とともに戻りやすいため、定期的な指導で正しい習慣を続けることが重要です。
フッ素塗布
当院では、むし歯のリスクを抑えるために、高濃度のフッ素コーティングを行っております。高濃度のフッ素を歯の表面に直接塗布することで、歯質を強化し、むし歯菌が作る酸に負けにくい健康な歯をつくります。フッ素は歯の再石灰化を促進し、初期のむし歯の進行を抑える効果もあります。子どもから大人まで安全に受けられる処置であり、特に子どものむし歯予防に効果的です。定期的な塗布で長期間にわたり歯の健康を守ることができます。
シーラント
特に子どもの奥歯の溝は複雑で食べかすやプラークが溜まりやすく、むし歯になりやすい場所です。シーラントはフッ素入りの柔らかい樹脂でこの溝をあらかじめ埋めて保護する処置で、歯を削る必要はありません。これにより食べかすが溜まりにくくなり、歯磨きがしやすくなることでむし歯リスクが大幅に減少します。お子さまのむし歯予防にとても有効な処置です。
予防メンテナンスの流れ
1
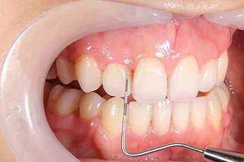
歯ぐきの腫れなど歯周病になっていないか、歯ぐきの状態を確認します。
2
磨き残しを染め出して確認します。一見綺麗に磨けてる様でも磨き残しがある事が確認できます。
磨き残しの多い所をどうしたらしっかり磨けるのか歯科衛生士が丁寧にご説明します。
染め出し液使用前

染め出し液使用前

3
磨き残し(プラーク)部分を音波振動ブラシを用いて除去します。
普段の歯ブラシでは落としにくいプラークも強力な音波振動によって除去することが可能です。
4
その後、歯と歯の間の磨きにくい部分にたまった歯石を超音波振動する機器等を用いて機械的に除去します。
この歯石は歯ブラシでは取る事が出来ず、表面にはプラークが溜まりやすいため、定期的に除去することをおすすめしています。
5
最後に歯の全体の汚れを落とし、表面をピカピカに磨いていきます。



6
クリーニング前とクリーニング後です。歯の着色も落ちて表面がピカピカになっています。定期的にクリーニングを行うことで、歯を残せることが分かっています。クリーニングの最後にむし歯や噛み合わせのチェックも行います。
症状がなく進行してしまうむし歯も、早期に治療することで、神経を抜いたり歯を抜いたりする事態を防げる場合が多いです。
クリーニング前

クリーニング後

お口の健康を保つための定期歯科検診
毎日の歯磨きを丁寧に行っていても、磨き方のクセが原因で歯垢を磨き残してしまうことがあります。歯垢は歯石と呼ばれる石のように硬いものへと変化して、歯磨きで落とせなくなります。歯石を放置するとむし歯や歯周病、口臭などを引き起こす他、歯石の表面に歯垢や細菌が付着して、さらに症状を悪化させます。
また、細菌が歯ぐきの血管から逆流し、糖尿病や心臓病、肺炎、脳梗塞、早産などのリスクを高める恐れもあります。全身の健康を守るためにも、歯磨きや歯のクリーニング、ブラッシング指導でむし歯や歯周病の予防に努めましょう。
歯とお口のお悩みは当院までお気軽にご相談ください。



