

マイクロスコープを使った「精密歯科治療」


豊富な臨床経験と高度な専門知識をもとに、院長自らが院長が、診査・診断から治療まで一貫して担当。見た目の美しさだけでなく、しっかり噛める機能性も追求し、患者様一人ひとりに最適な治療をご提案します。
目立たない「マウスピース矯正」


当院では、iTeroの3Dシミュレーションとフェイススキャンを活用し、見た目と機能性の両面から最適な矯正計画をご提案。横顔や口元のバランスも確認でき、美しさと噛み合わせの良さを両立した矯正治療を行います。
痛みの少ない「インプラント治療」


高度な技術と豊富な症例経験を持つ院長が、骨造成を伴う難症例にも対応。静脈内鎮法静法(セデーション)にも対応しており、痛みや不安に配慮した精密なインプラント治療を行います。
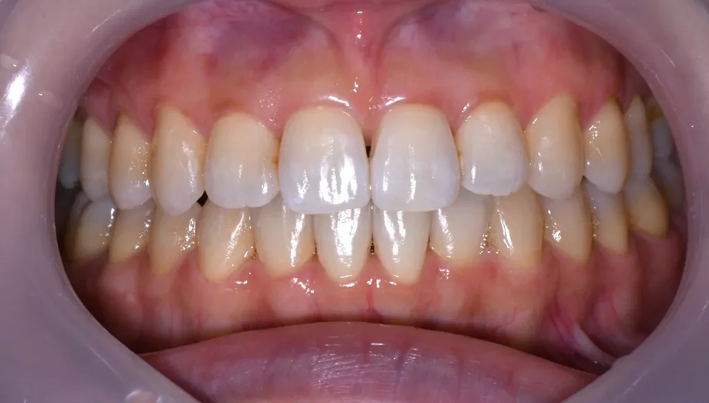
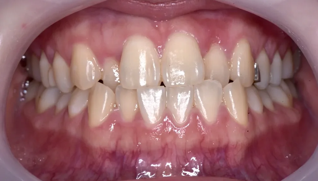
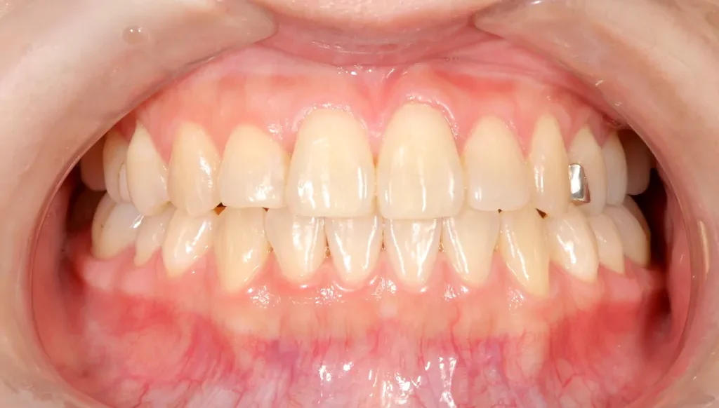
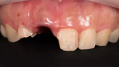
CASE症例紹介
院長治療の流れ
はじめに【初診】
院長の治療は自由診療のみとさせていただいております。レントゲンの撮影や歯を1本1本検査させていただき、現状の説明を院長がおこないます。
1回目の当日は、検査と現状説明のみで、治療開始と治療計画説明は2回目以降になります。
院長治療をするか迷われている方は無料相談も承っておりますのでお気軽にご予約ください。
院長治療をご希望の方はWEB予約ではなく、当院までお電話にてご予約をお願いいたします。
※無料相談でのご予約は当日の診療のご案内ができかねますのでご了承ください。(空き枠があればご案内が可能ですので、ご希望の方はお電話で当日スタッフにご確認ください)
2治療
まずは、マイクロスコープにて1本1本歯の状態をチェックします。必要に応じてラバーダム防湿を行います。院長より現状の説明をさせていただき、治療の開始は2回目以降に行います。
再診・院長指名の紹介状をお持ちの方
症状や紹介状の内容に沿って治療を開始します。
保証について
当院では、治療を安心して受けていただけるよう、万が一のトラブルにも対応できる保証制度をご用意しています。治療後の定期メンテナンスもしっかりサポートいたしますので、どうぞ安心してご相談ください。
保険診療と自費診療の違い
| 比較項目 | 自費診療 | 保険診療 |
|---|---|---|
| 治療精度 | マイクロスコープ精密機器を使用 | 基本的な機器での治療 |
| 診療時間 | 1回の診療時間を長めに確保 | 限られた時間で効率的に処置 |
| 治療期間 | 短期間で治療を計画的に進行 | 治療回数が多くなることも |
| 見た目 | 天然歯に近い審美性精密な仕上がり | 保険適用の範囲内の仕上がり |
| 素材の選択肢 | 高品質なセラミック・ジルコニア・アレルギーフリー素材 | 保険適用のレジン・銀歯 |
| 長持ち度 | 耐久性が高く、長期間の使用に耐える (再治療のリスクが低い) |
劣化しやすく、数年後に再治療が必要になる可能性 |
| 保証 | 自費診療保証制度あり | 保険診療の範囲内での対応のみ |
| 費用 | 初期費用はかかるが、長期的に再治療が少なく経済的 | 初期費用は安いが、再治療の可能性があり結果的に負担が増えることも |
| 治療方法の選択 | 最新の治療法を選択可能 | 保険適用範囲内での治療方法に制限 |
治療費用
2回目以降(治療開始前)にトリートメントコーディネーターのスタッフより今後の流れや治療計画、費用についてご説明させていただきます。わかりやすく丁寧なご説明をさせていただきますので不明な点や不安なことなどございましたら併せてお気軽にご相談ください。
注意事項
保険診療をご希望の患者様は在籍医でのご案内になります。(以前院長にて保険治療を行ってきた患者様も対象です。院長がしっかりとした指導を行っておりますので、在籍医でも充実した治療を提供することができます。)
CONTACT
- 質の高い治療を受けたい
- 自分に合った治療法を知りたい
- 他院で治療を断られてしまった
- 治療に対して強い恐怖心のある方(歯科恐怖症の方)



















