美しさと機能性を両立させる
審美歯科治療
見た目を綺麗にするのも歯科医師の仕事です。歯並びや歯の色が気になると笑顔に自信が持てなくなります。 歯並びをきれいにする方法は2つあり、1つは矯正治療、もう1つは歯を削って被せ物を被せる方法です。また、色が気になる場合はクリーニングで着色をとるかホワイトニングで明るい歯になります。
前歯の表面を薄く削って、つけ爪のように薄いつけ歯を貼り付ける方法や、セラミックの白く美しい歯を被せる方法など、当院では患者様のご希望に合ったオーダーメイドの施術が可能です。
歯の形、色などを綺麗にするだけでなく、歯並びや歯肉など口腔内全体の見た目や機能を整えることにより、そのひと本来の健康的で美しい笑顔を手に入れることを目的としています。セラミック治療やホワイトニング、ガムピーリングなどの治療があります。
荻窪ツイン歯科・矯正歯科では、セラミックインレー、オールセラミッククラウンを作製する技工士は一流の技工士に担当していただいていますので、特に前歯など自然に被せたい方はお気軽にご相談ください。
当院のセラミック治療の特徴
見た目と機能性を両立した
セラミック治療
当院のセラミック治療は、見た目の美しさだけでなく、しっかり噛めることや長く使えることも大切にしています。噛み合わせや歯並び全体のバランスを丁寧に確認し、自然な仕上がりを目指して設計・調整を行います。違和感なく日常生活に馴染む治療を提供しています。
デジタル技術を活用した
精密な治療設計
口腔内スキャナーやフェイススキャナーといったデジタル機器を用いて、患者様一人ひとりの歯並びや顔のバランスに合わせた補綴物を設計します。高精度なデジタルデータに基づく治療により、従来よりも精密で違和感の少ない仕上がりが可能です。口腔内スキャナーでの型取りは、従来の型取りが苦手な方にもやさしい方法です。
熟練の歯科技工士との連携で
質の高い仕上がりを
セラミックの完成度は、診断力のある歯科医師と、それをかたちにする歯科技工士の技術にかかっています。当院では、経験豊富な技工士と密に連携を取りながら、色合いや形状、質感にまでこだわった詰め物・被せ物を製作。自然で美しく、しっかりと機能する補綴物をお届けします。
保証について
当院では、治療を安心して受けていただけるよう、万が一のトラブルにも対応できる保証制度をご用意しています。治療後の定期メンテナンスもしっかりサポートいたしますので、どうぞ安心してご相談ください。
当院の審美歯科治療について
1.ハイブリッドインレー
保険治療のレジン素材(プラスチック)とセラミック(陶器)のちょうど間の素材と考えていただくと良いかと思います。
その為、保険の白い材料よりは強度がありますが、セラミック(陶器)よりは柔らかく、経年的な摩耗(削れ)や色の変化がある材料になります。
ただ、インレーと呼ばれる歯と歯の間を含む詰め物で金属の代わりになる材料です。あまり広範囲だと強度の問題からセラミックの方がいい場合があります。
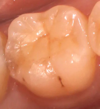
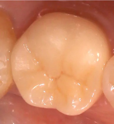
2.セラミックインレー
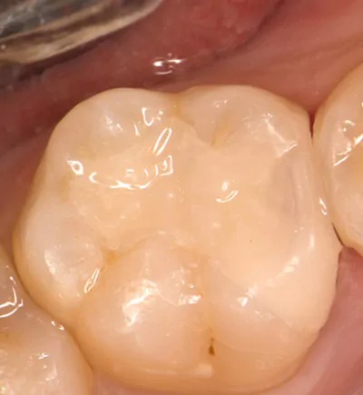
保険の利く奥歯の詰め物は、メタルインレーという様々な金属を混ぜた合金になります。笑った時に見える銀歯気になりませんか?
写真の材質はセラミックで作った詰め物です。こちらは保険は利きませんが、見た目は自然で、天然の歯のように、硬く変色がほとんど無い長期的に安定した材質です。
金属に比べると歯としっかりくっつくので、中がむし歯になりにくい事も特徴です。当院では詰め物割れるなど材質の問題でトラブルが起きた場合は、5年の保証期間を設けております。
症例1

症例2

インレーの治療の流れ
むし歯が大きい歯の修復を行う場合は、型取りをして模型上で詰め物を作製してセットする必要があります。歯がしみるなどの症状がある場合やむし歯が大きい場合、神経が炎症を起こしている事があるので、一旦お薬をつめて、一定期間置いて症状を確認して、問題がなければ型取りをします。型取り後保険のインレーは約1週間、保険外のインレーは約2週間で出来上がりますので、セットしていきます。最低2回のご来院が必要になります。
3.セラミッククラウン
セラミッククラウン(被せ物)は、審美性の高い全体がセラミック(陶器)でできたオールセラミッククラウン(e-maxクラウン)、セラミックの白さと強度を両立したジルコニアのフレームが組み合わさったジルコニアセラミッククラウンを症状とご予算に合わせて選択します。
セラミックのクラウンは、保険治療のいわゆる銀歯と異なり天然歯に近い白さと自然な審美性を持ちます。
人の印象は口元で大分変わります。歯を変える事で考えも変わり、人生も変わる方もいます。
少しでも気になる事があれば、荻窪ツイン歯科・矯正歯科にお任せください。
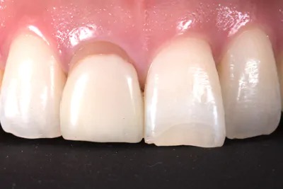
治療前

治療後

クラウンの治療の流れ
4.ラミネートベニア
ラミネートベニアは、天然歯を削らずにダメージなく審美的な治療を行うことができます。
前歯の審美歯科治療を行うとき、従来の方法(セラミッククラウン、ラミネートベニア)では天然歯の切削が必要でした。もちろんキレイな歯は素晴らしいですし、そのために適切な切削を行いより良い審美性を獲得することは、患者様にとって多くのメリットがあると考えています。ただ、歯の表面のエナメル質を不用意に削ると、象牙質と呼ばれる細菌に弱い部分が出てきてしまうため、むし歯になりやすいので審美性や形態を考慮した最小限の切削により歯を守る事ができます。
下の症例では手前の歯は失活歯(神経が無い歯)なので、割れないようにクラウンにして、2番目の歯は矮小歯と呼ばれる小さい歯なので、ほとんど削らずセラミックを貼り付けるラミネートベニアを選択しました。この症例のように目的のある切削は必要ですが、無闇に歯を削ることは当院では行っておりません。
治療の流れはクラウンとほとんど変わらず形成して仮歯を入れて型取りをして、ベニアをいれると言う流れになります。
治療前

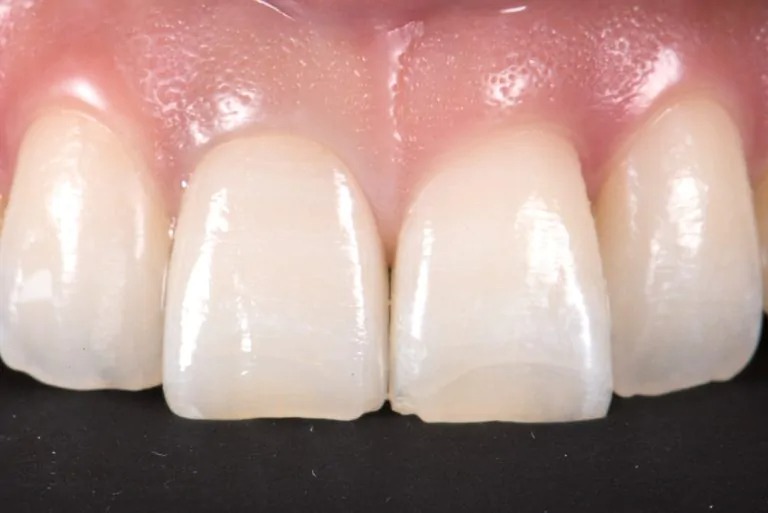
治療後


当院で扱っている
詰め物・被せ物の素材
インレー(臼歯)
メタルインレー(保険)


メリット
- 安価で治療ができる
デメリット
- 金属色が目立つ
- 経年的に錆びる
- 接着剤が弱い為、周りからむし歯になる事も
ハイブリッドインレー


メリット
- 比較的安価
- 見た目が綺麗
- アレルギーがない
デメリット
- セラミックに比べると、経年的に変色やすく減りが見られる
セラミックインレー


メリット
- 長期的に安定
- 見た目がいい
- つやがある
- 汚れがつきにくい
- 硬い
- むし歯になりにくい
デメリット
- 他と比べて高価
クラウン(臼歯)
メタルクラウン(保険)


メリット
- 安価で治療ができる
デメリット
- 金属色が目立つ
- 経年的に錆びる
- 接着剤が弱い為、周りからむし歯になる事も
ジルコニアクラウン


メリット
- 比較的安価
- 見た目が綺麗
- アレルギーがない
- 汚れがつきにくい
デメリット
- 透明感が少ない
オールセラミッククラウン
(ジルコニアフレーム+セラミック)


メリット
- 長期的に安定
- 見た目がいい
(見た目は天然歯とほぼ変わらない) - つやがある
- 汚れがつきにくい
- むし歯になりにくい
デメリット
- 他と比べて高価
クラウン(小臼歯)
CAD/CAM冠(保険)


メリット
- 安価で白くできる
デメリット
- セラミックに比べると、経年的に変色やすり減りが見られる
- 割れたり取れやすい
硬質レジン前装冠(保険)


メリット
- 安価で白くできる
デメリット
- 金属色が目立つ
- 経年的に錆びる
- 接着剤が弱い為、周りからむし歯になる事も
e-maxクラウン


メリット
- 比較的安価
- 見た目が綺麗
- アレルギーがない
- 汚れがつきにくい
デメリット
- 強度が少し低い
オールセラミッククラウン
(ジルコニアフレーム+セラミック)


メリット
- 長期的に安定
- 見た目がいい
(見た目は天然歯とほぼ変わらない) - つやがある
- 汚れがつきにくい
- むし歯になりにくい
デメリット
- 他と比べて高価
オールセラミッククラウン
(ジルコニアフレーム+セラミック)


メリット
- 長期的に安定
- 見た目がいい
(見た目は天然歯とほぼ変わらない) - つやがある
- 汚れがつきにくい
- むし歯になりにくい
デメリット
- 他と比べて高価














