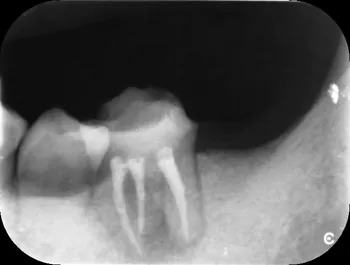
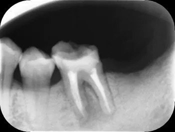
根管治療の症例
治療前

根管充填直後01

根管充填直後02

治療後3ヶ月

| 主訴 | 左下の奥歯を他院で抜いたほうがいいいと言われたので、診てほしい |
|---|---|
| 治療説明 | 当院でレントゲン撮影をすると左下の奥歯の根の先に黒く透過像を認めました。歯周病の検査も行いましたが、問題は認められず、根の先の問題だけだった為、残せる可能性が高い事を説明しました。 |
| 治療費用 | 9万円+TAX (歯の種類によって費用が変わります。また、根の治療を行った後のファイバーの土台の費用も入っています。) |
| 治療経過 | ラバーダム防湿を行い、マイクロスコープを用いて滅菌下で精密な根管治療を行いました。根管内部を完全にきれいにした後、細菌が繁殖しない様に内部を緊密に封鎖(根管充填)をしました。直後はまだ透過像を認めますが、3ヶ月経過後は炎症もほとんど認められず、症状も改善されていました。 患者さんも抜歯をせずに済んだ為、喜んでいました。現在はラバーダム防湿やマイクロスコープ、また場合によってはCT撮影をする事で今までの治療では見落としていた問題を見つける事ができるようになって、治療の成功率を上げることができます。 |



