iTero(口腔内スキャナー)✨
2020.10.25
iTero✨
こちらは度々出ている口腔内スキャナーのiTeroです❣️
この装置でお口の中をスキャンする事ができます。
この機械でなにが出来るかと言うと、スキャンする事で被せ物を作ったり、精度の高いマウスピース矯正用のマウスピースを作る事が出来ます✨
従来の型取りに比べ、患者さんの負担も少なく、型取りのムラがないためマウスピースの適合が高い事が挙げられます👀
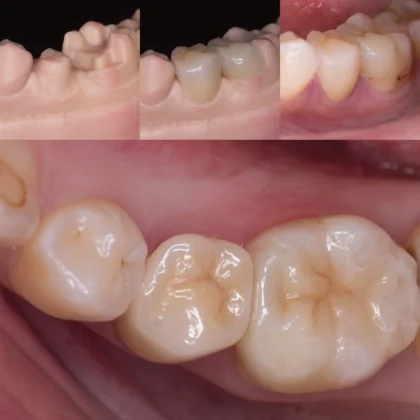
次の動画は被せ物を作るためにスキャンした動画です🎥
そして、最後の写真は被せ物をセットした所です🤗
いかがですか?綺麗で被せ物もピッタリ❣️デジタル技術の進化は凄いですね❗️
当院ではインビザラインのマウスピース矯正に活用もしております🙂
無料相談も行っておりますので、お気軽にご相談ください❗️





