CTは必要!?
2020.11.25
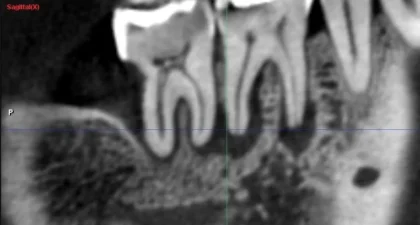
これは一般的なレントゲン写真とCTの部分的な画像です。
どうですか?レントゲンには写ってこないのですが、CTではハッキリと根の周囲に黒い影が見えます👀
これは2次元のレントゲンでは周りを厚い骨で囲まれている為に、根の病気が写らないのです。
治療する上で診断がとても大事なので、根管治療、インプラント治療、親知らずの抜歯ではCT撮影をする場合があります。
当院では最新のCTを完備しておりますので、お気軽にご相談ください✨

レントゲン撮影

CTの断面図



