インプラント治療の不安は?
2019.02.04
先日インプラント治療を目前に治療が不安で、もう一度相談したいとご連絡を頂きました。当日にカウンセラーと担当医がお話しをさせていただきました。
「インプラントについて調べると、色々トラブルがあったりするので不安」
との事でした。
具体的には上顎洞(上顎の上にある空洞)を突き抜けてしまうのではないのか、、インプラント埋入後に感染を起こし膿が出るなどのトラブルが起きないかという心配でした。
他の選択肢としては、ブリッジ(両隣の歯を削った三本固定性の被せ物)の治療法もご提案しました。
しかしブリッジだと健康な歯を削らなければならない、、
健康な歯を削ることで歯の寿命を縮めてしまう、咬合による負担がかかりやすいなどを説明しました。

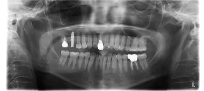
こちらの患者様のお口の状態はインプラントを支える骨がしっかりしている、上顎洞まで十分な距離があり、歯周病のリスクも低いことを詳しく説明しました。
患者様は、ご自分のリスクは低いということ、健康な歯を削りたくないと納得して頂きインプラント治療をする決心をなさいました。

オペの時間は30分間。
患者様の術後の一言『こんなにあっけなく終わるのね』と笑顔がみれました。
当院は10年保証。今後も3ヶ月に一度はしっかりと検診にいらしていただくようお約束いたしました。
当院はしっかりと治療方針を患者様に納得して頂き、今後のお口の健康をしっかり守っていきたいと思います。
何かご質問等ございましたらお気軽にご連絡ください。
荻窪ツイン歯科医院スタッフ一同。



