よく患者様から親知らずは抜いたほうがいいですか?というご相談を受けます。ただ、親知らずの生え方(方向、根っこの形)や状態(完全に出ているのか、そうでないのか、虫歯になっているのか等)周りの環境(下の親知らずの近くには神経があり離れているのか)等様々な要因を加味して考えなければいけません。ただ、ほとんどの場合は抜いたほうがいい方がほとんどだと思います。
今回はこんな邪魔な親知らずを活用した治療をご紹介します。
当院にご紹介でいらっしゃった患者さんで、左下の歯の痛みで他院で治療を受けていた患者さんです。当院でレントゲンを撮ると、親知らずの手前の歯の神経の治療を受けていました。レントゲン写真をみると大きく穴が空いており、なおかつ親知らずの影響もあり歯周病にもなっていた為、かなり状況が悪い事をお伝えして、治療方法をいくつか提示したところ、親知らずを矯正で状態の悪い歯の位置に移動させる事になりました。CTも撮影してご説明しました。


CTはレントゲンでは判りにくい部分を視覚的に患者さんに説明できるので、患者さんがイメージしやすく、当院ではインプラントや根の治療で活用しています。
矯正のメリットはインプラントや入れ歯を使わずにご自身の歯で噛める事です!デメリットは期間が1年〜2年かかる事です。また治療は保険が利かない事です。

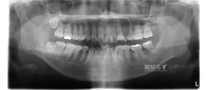
こちらが、矯正開始から1年3ヶ月経った状態です。穴が空いて残せなかった歯の位置に親知らずを動かしてきました。この後上の歯としっかり噛ませる為に被せ物をする予定です。患者さんは時間かけても自分の歯を利用できた事に喜んでいました。
この様に親知らずを活用する事も出来ますので、歯を失って治療方法にお困りでしたら、お気軽にご相談ください。

















