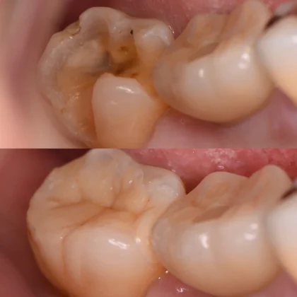
セラミックインレー🦷✨
2021.07.11

〈セラミックインレー〉¥70,000
当院では被せ物の型取りの際にこのようなお写真を撮り、歯科技工士さんに歯の色を合わせて作ってもらっています!そのため仕上がりもとても自然です☺️
2週間ほどで出来上がります。
透明感・ツヤもあり、汚れがつきにくいので変色もほとんど見られません✨
他にも被せ物の種類がいくつかございますので、まずはお気軽にご相談ください。
被せ物の無料相談もできるので、費用面でご不安な方もご予約お待ちしております☺️



