オフィスホワイトニング2回でここまで白くなります✨
2020.08.10
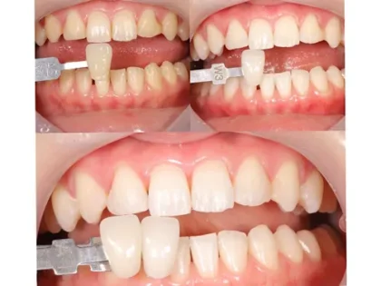
オフィスホワイトニングを2回行いました。
2回で大分明るくなりました⭐️
人の印象は3〜5秒で決まる、顔の見た目が7割!と言われてます。笑った時の歯がより白い方が清潔感があります。
詳しくはHPのホワイトニングページをご覧下さい。
ホワイトニングは気軽にできる美への第一歩です😀
お気軽にご相談下さい

ホワイトニング2回⭐️

オフィスホワイトニングを2回行いました。
2回で大分明るくなりました⭐️
人の印象は3〜5秒で決まる、顔の見た目が7割!と言われてます。笑った時の歯がより白い方が清潔感があります。
詳しくはHPのホワイトニングページをご覧下さい。
ホワイトニングは気軽にできる美への第一歩です😀
お気軽にご相談下さい

ホワイトニング2回⭐️