インプラントプランニング⭐️
2021.06.18

本日、左下にインプラント1本埋入しました❗️
当院では事前にCTを撮影し、インプラントのシミュレーションをして治療を行なっております。
CT上で神経との距離を測ることにより術後の神経の損傷するリスクを下げることができます。

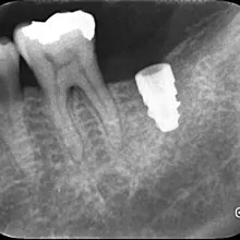
こちらが術後のレントゲンです。
シミュレーションとほとんど同じ位置に埋入できました🦷
当院では安全なインプラントオペを心掛けておりますので何かあればご相談ください。


本日、左下にインプラント1本埋入しました❗️
当院では事前にCTを撮影し、インプラントのシミュレーションをして治療を行なっております。
CT上で神経との距離を測ることにより術後の神経の損傷するリスクを下げることができます。

こちらが術後のレントゲンです。
シミュレーションとほとんど同じ位置に埋入できました🦷
当院では安全なインプラントオペを心掛けておりますので何かあればご相談ください。