- お子さまの矯正治療をご検討中の保護者の方へ
- 子どもの歯並びが悪くなる原因と放置リスク
- 小児矯正の治療時期について
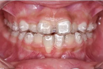
- ワイヤー矯正との違い・治療適応の比較
- 小児マウスピース矯正の目的
- 小児矯正を行うメリット
- MFT(口腔筋機能療法)について
- 当院でおこなっているマウスピース矯正
お子さまの矯正治療をご検討中の保護者の方へ

お子さまの歯並びや噛み合わせについて「このままで大丈夫?」「いつから矯正を始めればいいの?」と不安を抱く保護者の方は多くいらっしゃいます。
小児矯正は、大人の矯正とは異なり 「顎の成長を利用できる」特別な時期 に行う治療です。将来の歯並びだけでなく、お顔立ちや発音、正しい呼吸習慣にも関わるため、早期からの正しいサポートが大切です。
マウスピース矯正は、痛みや違和感が少なく、学校生活にも支障が出にくいことから、近年お子さまの矯正として選ばれるケースが増えています。
当院では、お子さま一人ひとりの成長段階や性格、生活スタイルに合わせて、無理のない矯正スタートをサポートしています。
お子さまの矯正は、保護者のサポートがカギ
小児マウスピース矯正では、毎日の装着時間を守ること が治療成功の大きなポイントです。そのため、治療効果を最大限に引き出すには、お子さまのがんばりだけでなく、保護者の方の見守りや声かけが欠かせません。
「今日はちゃんと付けられたかな?」「学校では困っていないかな?」そんな日々のちょっとしたフォローが、お子さまの安心感につながり、治療の継続にも大きく影響します。
当院では、保護者の方にもわかりやすく装着方法や注意点をお伝えし、ご家庭でも続けやすい環境づくりをサポートしています。一緒に取り組むことで、よりスムーズに・より良い仕上がりを目指すことができます。
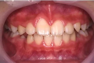
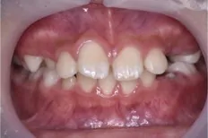
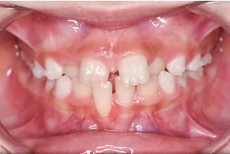
お子さまにこのような症状はありませんか?
次のようなサインが見られる場合は、歯並びや噛み合わせの問題が隠れている可能性があります。放置すると歯並びだけでなく、全身の発育や健康状態にも影響を及ぼすことがあるため、早めのご相談をおすすめします。
- 鼻づまりがよく起こる
- 指しゃぶりや爪・唇を噛む癖がある
- 舌足らずな話し方をしている
- 食事中にクチャクチャと音を立てることが多い
- いびきをかきやすい
- いつも口をポカンと開けている
- 飲み込む時に口元に力が入る
- 歯並びがガタガタしている
- 日中にあくびをする回数が多い
- 歯ぎしりをしている
- 姿勢が悪く、猫背になりやすい
- 風邪をひきやすい
子どもの歯並びが悪くなる原因と放置リスク
お子さまの歯並びが乱れてしまう背景には、遺伝的な要素だけでなく、日々の生活習慣も大きく関わっています。ここでは主な原因と、放置した場合に生じるリスクについて説明します。
遺伝

骨格や歯の大きさ、舌の位置などは親御さんから遺伝することが多く、特に受け口(反対咬合)は遺伝しやすい傾向があります。ご両親のどちらかが歯並びに問題を抱えている場合は、お子さまにも同様の傾向が現れる可能性があるため、早めのチェックが大切です。
むし歯

乳歯の時期にむし歯が進行すると、歯の欠損や早期の抜歯が必要になることがあります。歯の欠損は、永久歯の生え変わりに悪影響を及ぼし、歯の位置がずれたり、並ぶスペースが不足したりする原因になります。
口周りの悪いクセ

指しゃぶりや爪・唇を噛むクセ、舌で前歯を押すクセは、歯に持続的な力を加えるため歯並びを悪くする要因です。成長期のお子さまではこうした習慣が顎や歯並びの成長に大きく影響します。
口呼吸の影響

口呼吸の習慣がついてしまうと、舌の位置が下がり、歯が舌で押されることで歯並びが乱れる原因となります。さらに、口周りの筋肉の発達が不十分になるため、顎の成長や顔の骨格バランスにも悪影響を及ぼします。
姿勢や生活習慣
頬杖をつく、うつ伏せで寝る、猫背になるといった習慣は、成長期の顎や骨格に偏った負荷をかけ、歯並びや噛み合わせの乱れを引き起こす要因になります。猫背になることで自然と口呼吸になりやすく、さらなる悪循環を招きます。
食生活

柔らかい食事が中心になると、しっかりと噛む機会が減少します。噛む回数が少なくなることで顎の成長が不十分になり、歯が並ぶスペースが不足してしまうケースが少なくありません。よく噛む習慣を身につけることも、歯並びの安定には重要です。
小児矯正の治療時期について
お子さまの矯正治療は、大きく「第一期治療」と「第二期治療」に分けられます。
第一期治療
第一期治療は、乳歯と永久歯が混在しているおおよそ6~12歳頃の「混合歯列期」に行う治療です。この時期は顎の骨が大きく成長するため、顎の大きさやバランスを整えるのに適しています。顎の成長を正しく誘導することで、永久歯が正しい位置に生えるためのスペースを作り、将来的な抜歯や大がかりな矯正のリスクを減らすことができます。
また、指しゃぶり・舌のクセ・口呼吸などの悪い習慣の改善も目指すことが可能です。歯並びだけでなく、お口全体の機能を整えながら健康的な成長をサポートします。
第二期治療
第二期治療は、永久歯が生え揃ったおおよそ12歳以降におこないます。主に歯の位置を細かく整えていきます。大人の矯正治療と同じようにワイヤーやブラケットを使った矯正装置や、目立ちにくいマウスピース型矯正も選択できます。
第一期治療で顎のバランスが整っていると、第二期治療の期間が短く済むこともあります。早めに始めることで、将来の歯並びや噛み合わせの問題を未然に防ぎ、成人後も健康なお口を維持しやすくなるのが大きなメリットです。
ワイヤー矯正との違い・治療適応の比較
小児矯正とワイヤー矯正では、治療の目的や対象年齢が異なります。
|
小児マウスピース矯正 |
|
|
| 対象年齢 | 乳歯と永久歯が混在する成長期 | 永久歯が生え揃った中学生~大人 |
| 治療の目的 | 顎の成長を促し、歯列の土台をつくる | 歯を精密に動かして歯並びを整える |
| 顎の成長誘導 | 可能 | 不可 |
| 筋機能の改善(舌癖・口呼吸など) | 可能 | 基本的には不可 |
| 永久歯の誘導 | マウスピースのレールで正しい位置へ誘導 | 歯列スペースが足りない場合は抜歯が必要になることも |
| 治療開始のタイミング | 乳歯と永久歯の混在期 | 永久歯が生えそろってから |
| 将来ワイヤー矯正が必要になるか | 軽度で済むことが多い | 基本的にこれが最終矯正 |
小児マウスピース矯正の目的
将来のきれいな歯並びを育てる土台矯正
小児マウスピース矯正は、お子さまの歯並びだけでなく、顎や口の周りの筋肉の使い方も整える治療です。マウスピースをつけることで、舌や口の筋肉の正しい使い方を覚え、口呼吸や舌のクセを改善しながら歯並びを整えます。
現代のお子さまは、口の周りの筋肉が弱くなりやすく、そのままにしておくと歯並びや顔の成長に影響することがあります。マウスピース矯正では、乳歯が抜けたあとに生えてくる永久歯も正しい位置に導くことができます。
さらに、必要に応じて筋機能療法(MFT)を併用すると、顎の成長をより効果的にサポートできます。これにより、将来ワイヤー矯正が必要になっても、治療が短く軽く済む可能性が高くなります。
小児矯正を行うメリット
むし歯や歯周病のリスクを軽減
歯並びが整うと歯ブラシがすみずみまで届きやすくなり、磨き残しが減ります。その結果、むし歯や歯周病の予防につながります。さらに、噛み合わせが整うことで、噛む力が歯全体に均等に分散され、1本1本の歯への負担も軽減されます。
悪い癖を早期に改善できる
指しゃぶりや舌を前に突き出す癖、口呼吸など、歯並びや噛み合わせに悪影響を与える習慣を早い段階で改善できます。こうした悪習慣を放置せず、成長期に正しい筋肉の使い方を身につけることは、将来のお口の健康だけでなく、全身の健やかな発育にも良い影響を与えます。
早くから口腔ケア習慣が身につく
小さなうちから歯科医院に定期的に通うことで、正しい歯みがきの方法や予防の意識が自然と身につきます。専門家による継続的なチェックを受けることで、早期の異常発見や必要な治療介入がしやすくなり、口腔内の長期的な健康維持につながります。
顎の発育を適切に導ける
成長期に行う矯正では、顎の骨の成長をコントロールしやすく、上下の顎のバランスを整えることが可能です。将来的な噛み合わせの不具合や顔貌のアンバランスを予防し、自然で調和の取れた顔立ちを目指せます。
将来的な抜歯のリスクを減らせる
成長期に矯正治療を行うことで、顎の骨の成長を促し、歯が並ぶための十分なスペースを確保できます。これにより、永久歯が正しい位置に生えやすくなり、大人になってからの矯正で抜歯が必要になるリスクを減らすことができます。
見た目のコンプレックス解消
思春期に入ると見た目への意識が高まります。歯並びが整うことで、笑顔に自信が持てるようになり、友達との会話や写真撮影なども前向きに楽しめるようになります。
MFT(口腔筋機能療法)について
MFTは「口腔筋機能療法」のことで、舌や唇、頬などお口まわりの筋肉を正しく使えるようにするためのトレーニングです。こうした筋肉は、歯並びや噛み合わせの形成に大きく関わっており、バランスが乱れると歯が動いてしまい、歯並びの乱れや矯正治療後の後戻りの原因になることもあります。
MFTでは、正しい舌の位置や動き、唇の閉じ方、呼吸の仕方などを訓練し、筋肉の機能を整えていきます。矯正治療中や治療後に併用されることも多く、治療後の歯並びを安定させるためにも効果的です。正しい筋肉の使い方を身につけることで、噛み合わせの安定や後戻りの予防にもつながります。
当院でおこなっているマウスピース矯正
インビザライン・ファースト

インビザライン・ファーストは、歯の生え変わり途中にあるお子さま(混合歯列期)を対象に行うマウスピース矯正です。透明で目立ちにくいオーダーメイドのマウスピースを1〜2週間ごとに交換し、歯並びを整えていきます。装着中でも目立ちにくいため、見た目を気にせず治療を進められるのが大きな特徴です。
また、インビザライン・ファーストでは「顎の幅を広げる治療」と「歯の位置を整える治療」を同時に行うことができます。
インビザライン・ファーストの特徴
透明で目立ちにくい
透明のマウスピースは装着してもほとんど気づかれず、見た目の心配が少ないのが特徴です。矯正装置が目立つことを気にして治療をためらっていたお子さまでも安心してスタートできます。
取り外し可能で衛生的
マウスピース装置はお食事や歯みがきの際に取り外せるため、普段どおりにお口のケアが可能です。装置に食べかすが詰まる心配も少なく、むし歯や歯周病のリスクを抑えられます。常に清潔な状態を保てるのも魅力です。
成長を利用した歯列の誘導
インビザライン・ファーストは、顎の成長を助けながら、無理なく少しずつ歯を動かして、きれいな歯並びに導きます。そのため第二期治療で抜歯するリスクを減らすことが期待できます。
日常生活への負担が少ない
マウスピースは薄くてなめらかなので、装着時の違和感が少なく、発音や食事、運動中も気になりにくいのが特長です。転倒や接触時もケガのリスクが少なく、安全性にも優れています。
インビザライン・ファーストで対応できる症例

インビザライン・ファーストで対応できる症例
インビザライン・ファーストは、乳歯から永久歯に生え替わる時期のお子さまを対象とした矯正治療です。治療を始めるためには、以下の条件を目安にしています。
① 第一大臼歯が生えていること
第一大臼歯とは、前から数えて6番目の奥歯のことです。乳歯の場合は「乳第一大臼歯」、永久歯の場合は「永久第一大臼歯」と呼ばれます。治療を始めるには、この第一大臼歯が少なくとも1本以上生えていることが必要です。
② 前歯(切歯)が2本以上生えていること
切歯とは、上と下の前歯のことを指し、計8本あります。インビザライン・ファーストでは、前歯のうち少なくとも2本が十分に(2/3以上)生えていることが適応の目安です。
③ 顎に乳歯やまだ生えていない永久歯が2本以上あること
顎の中に、乳歯や未萌出(まだ生えていない)永久歯が2本以上残っていることが必要です。これは、歯の並ぶスペースを確保し、矯正をスムーズに行うための条件です。
これらの条件を満たすお子さまであれば、一般的にはインビザライン・ファーストの治療が可能です。ただし、お子さまの歯や顎の状態によっては、必ずしも全員が適応になるわけではありません。
iTeroで矯正後のイメージを事前確認できます
矯正治療を始める際、「どんな仕上がりになるのか」「子どもが型取りを嫌がらないか」と不安を抱く保護者の方は少なくありません。
当院では、こうした負担を軽減するために 口腔内スキャナー「iTero(アイテロ)」 を導入しています。
iTeroは、お口の中を光で読み取って歯型を作成するため、従来のような粘土の型取りが不要で、お子さまのストレスを大きく減らせます。
取得した3Dデータは、インビザラインの治療計画ソフト「クリンチェック」に取り込み、歯がどのように動いていくかを細かくシミュレーションします。
治療前に矯正後の仕上がりイメージを確認できるため、保護者の方もお子さまも安心して治療を始められます。
また、画面で変化が視覚的にわかることで、お子さまのモチベーションにもつながります。
インビザライン・ファーストで対応できる症例
Before
使用中
After
症例の概要
全部で20枚のマウスピースを、1日16時間以上使用していただき、1枚を5日で交換していただき、約3ヶ月でここまで改善しました。
改善したのは前歯の噛み合わせと、奥歯が狭かったので、アーチを広げる事で永久歯が生えるスペースを作りました。
この後は永久歯の生え方等の経過を見ながら、必要に応じてマウスピースを作製し(インビザライン・ファーストは矯正開始から3年間無料で作製できます)歯並びを改善していきます。
プレオルソ
プレオルソは、成長期のお子さまの歯並びや噛み合わせを整えるために使用する取り外し式のマウスピース型の装置です。やわらかく弾力のある素材で作られており、お子さまのお口への負担が少なく、無理なく矯正治療を進められるのが特徴です。学校から帰宅後や就寝時にのみ装着し、日中の学校生活などでは外しておくことができます。
プレオルソの特徴
お子さま自身でも着脱が可能
ワイヤーやブラケットを使用しないため、取り外しが簡単でお子さま自身でも着脱が可能です。装着時の違和感や見た目の心配も少なく、矯正治療への抵抗感が少ない治療法です。
やさしい力で歯を動かす
プレオルソは強い力で歯を動かすのではなく、やさしくゆっくりと歯を誘導していきます。一般的な矯正装置に比べて痛みが出にくく、お子さまも安心して取り組めます。
日中+就寝時だけの短時間の装着
日中に1〜2時間、さらに就寝中に装着するだけで効果が期待できます。学校や習い事など日常生活に大きな負担をかけることなく治療が進められる点も魅力です。
成長期に合わせた早期アプローチが可能
顎の成長や歯の位置を早期にコントロールすることで、出っ歯・受け口・顎のズレなどを改善し、将来的により複雑な矯正治療が必要になるリスクを減らします。
口呼吸や発音の改善もサポート
プレオルソは歯並びの改善に加え、舌や口周りの筋肉のバランスも整えます。そのため、口呼吸や発音のしづらさがあるお子さまにも良い効果が期待できます。
プレオルソで対応できる症例

プレオルソの症例
Before
After
Before
After
症例の概要
この患者さんは10歳の男の子で、前歯が出ている事を主訴に来院されました。
日中の1時間と就寝時に装着していただいて、舌の位置や飲み込みの指導を約6ヶ月使用した初診時と術後です。
比較をすると主訴の右上の前歯が内側に入ってきて、噛み合わせが深かった(噛んだ時に下の前歯があまり見えていない状態)のが浅くなり、
上の歯並びのアーチが狭かったのが、広がって綺麗に歯が並んできていることがわかります。
この様に状態によってはワイヤーを装着せずに、改善させることができます。
ムーシールド
ムーシールドは、主に子どもの「受け口(反対咬合)」を改善するためのマウスピース型の矯正装置です。やわらかい素材で作られているため、お子さまの負担が少なく、違和感も少ないのが特徴です。就寝時に装着するだけで、下顎の成長を穏やかにコントロールし、自然な噛み合わせに導きます。
ムーシールドの特徴
受け口(反対咬合)に特化した矯正装置
ムーシールドは、下顎が前に出ている受け口の症状を改善する目的で使用します。成長期の顎の発達を利用しながら、下顎の突出を抑え、上顎とのバランスを整えます。
痛みが少なく続けやすい
従来のワイヤー矯正とは違い、痛みや違和感がほとんどなく、小さなお子さまでもストレスなく使えます。
就寝中のみの装着で治療可能
ムーシールドは夜寝ている間に装着するだけで治療効果を発揮します。日中は装置を外して過ごせるため、学校生活や食事、運動などの日常生活への影響がほとんどありません。
成長期の自然な発育をサポート
お子さまの成長を利用し、下顎の過剰な成長を穏やかにコントロールすることで、正しい噛み合わせや骨格の形成を促します。
早期治療で負担軽減
ムーシールドは、4歳〜7歳頃の早い段階で使用を開始することが理想的です。早期に受け口を改善することで、その後の矯正治療を簡略化できる可能性が高まります。
拡大床で対応できる症例

拡大床の症例

症例の概要
患者さんは7歳の女の子で、下の永久歯が2本生えた状態で叢生(ガタガタ)を認めました。
このままでは永久歯が正常に生えない為、拡大床でアーチを広げ前歯4本がしっかり生えるように矯正しました。
拡大床は1日16時間装着していただき、真ん中に見える装置を5日に1回、回してもらい拡大していきました。
治療期間は1年半でしたが、この期間は前歯がしっかり生えそろうまで、確認する必要があります。




