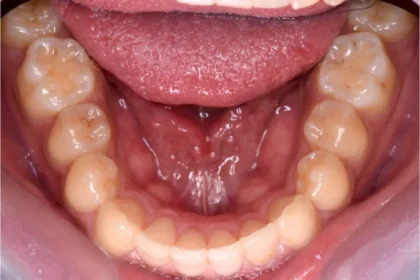
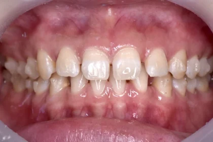
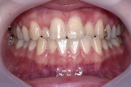
叢生(歯がガタガタ)
Before

After
| 主訴 | 下の歯がガタガタ(叢生)なので治したい |
|---|---|
| 年齢・性別 | 20代・男性 |
| 治療説明 | マウスピース矯正による治療。歯と歯の間を少し削り、そのスペースを利用して叢生を改善しました。見た目と磨きにくい歯並びを改善しました。 |
| 治療費 | 44万 |
| 治療期間 | 約6ヶ月 |
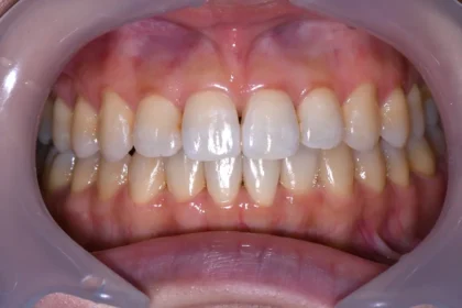
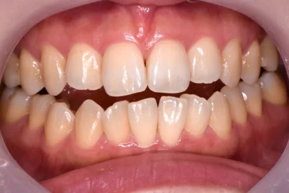
開咬(オープンバイト)
Before

After
| 主訴 | 前歯が噛み合わない、前歯で食べ物を噛みちぎれない |
|---|---|
| 年齢・性別 | 30代・女性 |
| 治療説明 | マウスピース矯正と舌のトレーニングによる治療。奥歯の嚙み合わせを低くして前歯を噛ませるように矯正治療を行いました。 |
| 治療費 | 93.5万 |
| 治療期間 | 約1年7ヶ月 |
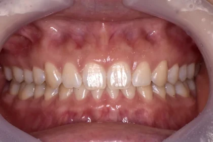
空隙歯列(すきっ歯)
Before

After
| 主訴 | 歯と歯の隙間が気になる。 |
|---|---|
| 年齢・性別 | 20代・女性 |
| 治療説明 | マウスピース矯正による治療。 |
| 治療費 | 93.5万 |
| 治療期間 | 約1年3ヶ月 |
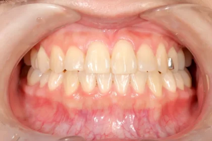
反対咬合(受け口)
Before

After
| 主訴 | 下の前歯が前に出ているのが気になる |
|---|---|
| 年齢・性別 | 20代・女性 |
| 治療説明 | マウスピース矯正による治療。 |
| 治療費 | 93.5万 |
| 治療期間 | 約2年 |


