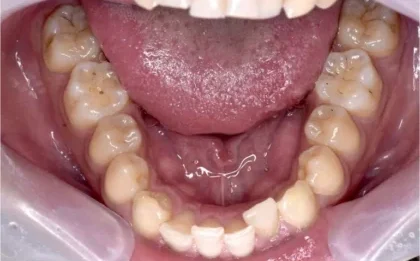
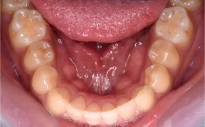
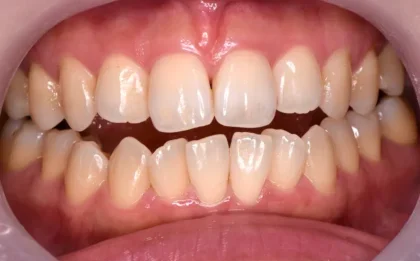
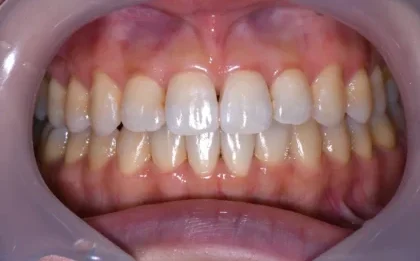
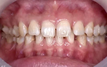
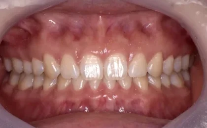
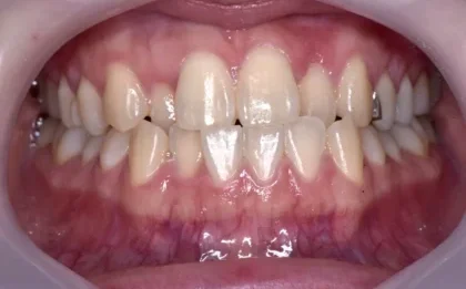
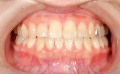
CASE症例紹介



無料矯正相談の
ご案内
当院では、歯並びに関するお悩みを気軽にご相談いただけるよう、無料相談を行っております。「矯正治療に興味はあるけれど不安がある」「治療を受けるかどうか迷っている」など、どんなお悩みでもかまいません。トリートメントコーディネーターが患者様に寄り添ったカウンセリングを行います。ご相談では、お口の状態をしっかりと確認したうえで、丁寧にご説明し、必要に応じて治療の見積もりもご提示いたします。
まずは不安を取り除くところから、一緒に始めていきましょう。

キャンセルポリシー※ご予約前にお読みください


マウスピース矯正とは?
マウスピース矯正は、透明なマウスピース型の矯正装置を定期的に交換し、歯を少しずつ動かしていく治療法です。
従来のワイヤー矯正とは異なり、装置が目立ちにくく、取り外しができるため、食事や歯磨きもこれまで通りできます。周囲に気づかれにくいため、見た目を気にされる方や、ライフスタイルに合わせて矯正を進めたい方に適した治療法です。
当院では、ライフスタイルや治療ニーズに合わせて、2種類のマウスピース矯正装置から選択いただけます。
当院のインハウスアライナーの強み
歯並びや症例に合わせて
最適なアライナーを選択
当院では、シートを加圧成形して作るSFAと、アライナーそのものを直接3Dプリントして作るDPAの 2種類のアライナーを使い分けています。
それぞれの特性を踏まえて最適な方法を選択するため、歯並びのタイプや動かしたい方向に合わせた、より精密な矯正が可能になります。
形状記憶素材で
痛みと負担を最小限に
当院では、シートを加圧成形して作るSFAと、アライナーそのものを直接3Dプリントして作るDPAの 2種類のアライナーを使い分けています。
それぞれの特性を踏まえて最適な方法を選択するため、歯並びのタイプや動かしたい方向に合わせた、より精密な矯正が可能になります。
院内設計・製作で、
すぐに治療をスタート
当院ではアライナーの設計・製作をすべて院内で行っています。
一般的なマウスピース矯正では、歯型データを外部に送って製作するため、完成まで数週間かかることがあります。当院では院内で全ておこなうため、最短で治療をスタートでき、追加アライナーや微調整もすぐ対応可能です。
細かな微調整も可能
高精度アライナー
院内に技工所を完備しているため、アライナーの微調整やアタッチメントの仕上げなど、細部まで正確に作り込むことができます。
これにより、難しい歯の動きも計画通りに導きやすく、より精密で効率的な矯正治療を実現します。


FEATURE01
豊富な実績に基づく、
専門性の高いマウスピース矯正
当院では、マウスピース矯正による矯正治療を多く手がけており、年間100症例以上の実績をもつ経験豊富なドクターが担当します。
難しい症例にも対応できる体制を整え、一人ひとりのお口の状態を丁寧に診断したうえで、精密な治療計画をご提案します。抜歯が必要なケースや、できるだけ歯を抜かずに治療したいというご希望にも柔軟に対応しています。専門性の高い矯正治療を通じて、より快適に、そしてスムーズに理想の歯並びへと導きます。マウスピース矯正をご検討の方は、ぜひ一度ご相談ください。


国内外の学会やセミナーで
講演も行っています
院長は国内外の学会やセミナーで歯科医師向けに講演や指導を行っております。豊富な臨床経験をもとに知識や技術を伝え、日々矯正治療をはじめ様々な分野の研鑽を重ねています。これらの経験を診療に活かし、患者様一人ひとりに合わせた丁寧な診断と治療計画を大切にしています。
FEATURE02
先進設備を駆使した
正確な診断と治療計画
矯正治療に欠かせないセファロレントゲンや歯科用CT、口腔内3Dスキャナー(iTero)など、先進の設備を導入しています。
これらを活用し、成長予測や骨格・歯列のバランスまで精密に分析。高精度なデータをもとに、無駄のない治療計画を立案することで、
安全性・効率性・スピードを兼ね備えた矯正治療を可能にしています。
歯科用CT・セファログラム


歯科用CTでは、あごの骨や歯の根の立体画像を提供し、内部構造を詳細に把握することができ、矯正治療に欠かせないセファロレントゲンは、骨格や歯並びのバランスを評価するX線機器で、精密なデータを提供します。
口腔内スキャナー「iTero」


iTero(アイテロ)は、短時間で高精度な歯型を採取できる口腔内スキャナーです。歯並びや口腔内の詳細なデータを高精度に取得でき、患者様の負担を軽減します。取得したデータを基に治療シミュレーションをその場で行うことができます。
3Dフェイススキャナー
「RAYFace」
RAYFace(レイフェイス)は、お顔とお口を同時にスキャンできるフェイススキャナーです。6台のカメラで顔の立体データを取得し、歯や骨のCT・歯茎の3Dデータと組み合わせることで、単に歯を並べるだけでなく、お顔全体のバランスまで考えた診断と治療計画が可能になります。


FEATURE03
治療前にその場で
シミュレーションが確認できる


当院では口腔内スキャナーiTeroを使った治療シミュレーションを行うことができます。これにより、治療前に歯の動きや治療後の歯並びを視覚的に確認でき、患者様の治療へのモチベーションを高めることができます。
FEATURE04
マウスピースだけでは
解決できない
複雑な症例にも対応


当院では、マウスピース矯正だけでは対応が難しい症例に備え、ワイヤー矯正を組み合わせたハイブリッド矯正を行っています。豊富な症例経験を活かし、患者様一人ひとりに最適な治療法をご提案し、複雑な症例にも柔軟に対応します。
FEATURE05
トリートメント
コーディネーターが
治療前から徹底サポート


当院では、トリートメントコーディネーターが在籍しており、矯正相談から治療中まで一貫してサポートします。患者様一人ひとりに寄り添い、治療に対する不安やお悩みをしっかりお伺いし、安心して治療を進められるようお手伝いします。
FEATURE06
セカンドオピニオンに対応
納得のいく治療方針を
ご提案


当院では、患者様が納得できる治療を選んでいただけるよう、セカンドオピニオンにも対応しています。治療方法に不安がある方、他の医師の意見を聞きたい方には、専門的な視点から最適な治療法をご提案し、安心して治療を進められるようサポートいたします。
FEATURE07
荻窪駅徒歩5分
土日診療で通いやすい


当院は荻窪駅から徒歩5分の場所にあり、JRや東京メトロでのアクセスも便利です。さらに、平日お忙しい方にも通いやすいよう、土日も診療を行っております。患者様のライフスタイルに合わせて通院できるため、治療を続けやすく、負担を軽減した環境を提供しています。
GREETING


マウスピース矯正は
“診断力”がすべてです
マウスピース矯正は一見手軽に始められる治療に見えるかもしれませんが、実は非常に繊細で高度な知識と経験が求められる治療です。歯並びや噛み合わせをしっかりと考慮しながら、どのように歯を動かしていくか。そこにはドクターの診断力と計画力が欠かせません。なかにはマウスピース装置だけでは対応が難しい症例もあります。
当院では、そうした判断も含め、患者さん一人ひとりのお口の状態に合わせた最適な治療をご提案しています。治療後に「やってよかった」と思っていただけるよう、責任をもってサポートいたします。歯並びや噛み合わせでお悩みの方はお気軽にご相談ください。
院長 町田 真吾































































